جرمگیری دندان
همه آنچه که باید راجع به جرم گیری دندانها بدانیم!!
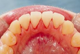
جرمگیری قطعا یکی از ضروری ترین اقدامات در دندانپزشکی می باشد. اگر افراد به بهداشت دندانهای خود اهمیت ندهند در طول زمان لایه ای از غذا بر روی دندانها می نشیند که به آن جرم می گویند.جرمها و پلاکها باعث ایجاد اسید و پوسیدگی می شود. جرمهای دندان به مرور زمان به حدی می رسند که دیگر با مسواک زدن زدوده نمی شوند.

جرمگیری و برساژ
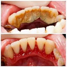
جرمگیری و برساژ به برداشتن پلاک و جرم و وعواملی که سبب تغییر رنگ دندان شده اند می گویند که این مواد خارجی می تواند شامل (چایی،قهوه،نوشابه،سیگار،قلیان و...) باشد.
انواع جرمها
اصولا جرمها در دهان شامل دو دسته می باشند
- جرمهای بالای لثه
- جرمهای زیر لثه
برای حفظ سلامتی دندان و بافت لثه و استخوان لازم است که حتما جرمهای موجود برداشته شود.
بنا بر توصیه متخصصین دندانپزشکی جرمگیری در سال حداقل یکبار باید انجام بگیرد که قطعا به بهداشت دهان و دندان فرد مرتبط می باشد
آیا جرمگیری موجب سفیدی دندانها می شود؟
هدف از جرمگیری برداشتن لایه هایی است که در اثر خوردن غذا و یا عوامل دیگر(سیگار،قلیان و...)بوجود آمده است و به طبع باعث سفیدتر شدن دندانها می شود اما قطعا برای سفید شدن دندانها به قصد زیبایی باید روشهای خاص آن را بکار گرفت و جرمگیری نمی تواند تا آن حد موثر باشد.

آیا جرمگیری به بافت و مینای دندان آسیب میزند؟
قطعا جواب خیر می باشد و اگر جرمگیری در مدت زمان توصیه شده انجام نشود موجب از بین رفتن بافتهای حمایت کننده دندان (لثه و استخوان)می شود و به مرور زمان لطمات جبران ناپذیری به سلامت دندان شما وارد میکند.
آیا بعد از جرمگیری دندانها لق می شوند؟
این یک باور اشتباه است که وقتی جرمگیری میکنیم دندانها لق می شوند چرا که وقتی جرمها و پلاکها دور دندان افزایش می یابند و به تدریج لایه های جرم زیاد می شوند ، این افزایش جرم دندان موجب تحلیل نسبی استخوان می شود و در حقیقت به دلیل همین جرمها و تحلیل استخوان، دندان لق شده است و وقتی جرم ها از آن دور می شوند و خارج می شوند این لق شدگی بیشتر خود را نشان می دهد لذا به همین دلیل دندانپزشکان توصیه می کنند که هر سال حداقل یکبار عمل جرمگیری دندان توسط دندانپزشک انجام گیرد تا از صدمات جبران ناپذیر آن و افزایش هزینه های جبران صدمات جلوگیری کرد.
قابل ذکر است که توصیه اکید می شود از خمیردندانهایی که دارای مواد ساینده هستند به هیچ وجه استفاده نشود چرا که این خمیردندانها علی رغم تبلیغاتی که میکنند موجب ایجاد خراش بر روی دندانها می شوند که خود این خراشها محل تجمع جرم و افزایش آن می شود.
.jpg)

هزینه های جرمگیری
در حال حاضر(آذر 1398) هزینه هربار جرمگیری حدود 300 هزارتومان الی 500 هزار تومان می باشد.






